Aesthetic Dentistry of Lake Oswego
Larry Bowden DMD
Wishing you and your family a wonderful holiday season!
Please note that we will be closed on the following dates:
Christmas & New Year's Break: Dec. 23 – Jan. 5
Home
About
Our Team
Technology
Practice Photos
General Dentistry
View All
Periodontal Disease Prevention and Treatment
Tooth Extraction
Bone Grafting
Velscope Oral Cancer Screenings
Treatment for TMJ and Bruxism
Dental Cleanings and Exams
Sleep Apnea
View All
TAP™ Oral Appliance Treatment
NightLase® Laser Treatment
Cosmetic Dentistry
View All
Zoom!® Professional Teeth Whitening
Tooth-Colored Fillings
Porcelain Veneers
Metal-Free Dental Crowns
Invisalign® Clear Aligners
Inlays and Onlays
Full Smile Makeovers
Dental Implants
Cosmetic Dental Bonding
Holistic Dentistry
View All
SMART-Safe Mercury Removal
Saliva Testing
Ozone Therapy
Smile Gallery
Patient Info
View Patient Info
Testimonials
Forms
Connections
Financial
FAQs
Blog
Pay Online
Contact
Aesthetic Dentistry of Lake Oswego
Larry Bowden DMD
Request an Appointment
Leave a Google Review
(503) 675-7300
Aesthetic Dentistry of Lake Oswego
Pay Online
Aesthetic Dentistry of Lake Oswego
>
Smile Gallery
>
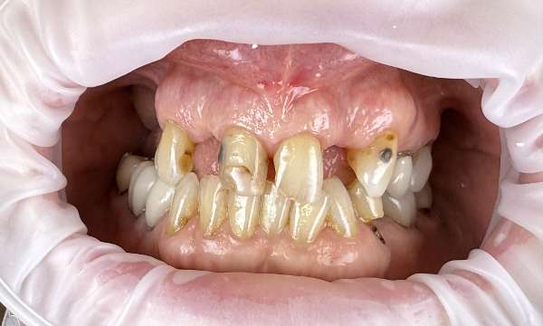
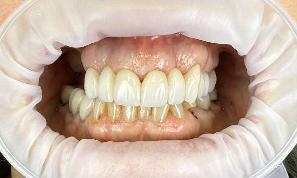
Upper Anterior Crown/Bridge
Upper Anterior Crown/Bridge
Return to Smile Gallery
Related Services:
Metal-Free Dental Crowns
Service Performed By:
Dr. Larry Bowden
Click image to see a larger picture
Before
After
Are You Ready to Book Your Next Dental Visit?
Contact Us
If you have difficulty using our website, please
email us
or call us at
(503) 675-7300
View the
ADA Accessibility Statement
Turn on ADA Views
OK!
×
×
Contact Us Today
Give Us A Call
Aesthetic Dentistry of Lake Oswego -
(503) 675-7300
Send Us an Email
Request an Appointment
Contact Us
Ready to Schedule an Appointment?
Book Online
Have Questions? Contact Us:
Required Field
Your Name:
Phone:
Email:
Are you a new patient?:
Are you a?
New Patient
Current Patient
How would you like us to contact you?
Please choose
Email
Call
How did you hear about us?
Please choose
I'm an existing patient
Google/Bing
Mailer
Word of mouth
Social media
Other
Who Referred You?:
Appointment Preferences
Monday
Tuesday
Wednesday
Thursday
Friday
Your Message:
DOB and Address
This site is protected by reCAPTCHA and the Google
Privacy Policy
and
Terms of Service
apply.
Sending...
×
This Patient's Experience
Loading Testimonial...
Loading Case...